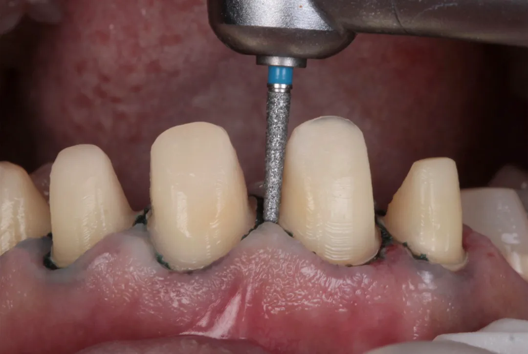
معرفی و خرید فرز الماسی مدل مخروطی ته صاف توربین 5 عددی - Flat End Taper 846 158G:این فرز در آماده سازی تاج جهت روکش و Inlay/Onlay مورد استفاده قرار میگیرد.فرز الماسی مدل مخروطی ته صاف توربین برند سانی در بسته بندی 5 عددی عرضه میگردد.****خرید تجهیزات دندانپزشکیبا بهترین کیفیت ها و مناسب ترین قیمت از فروشگاه دندانت ****