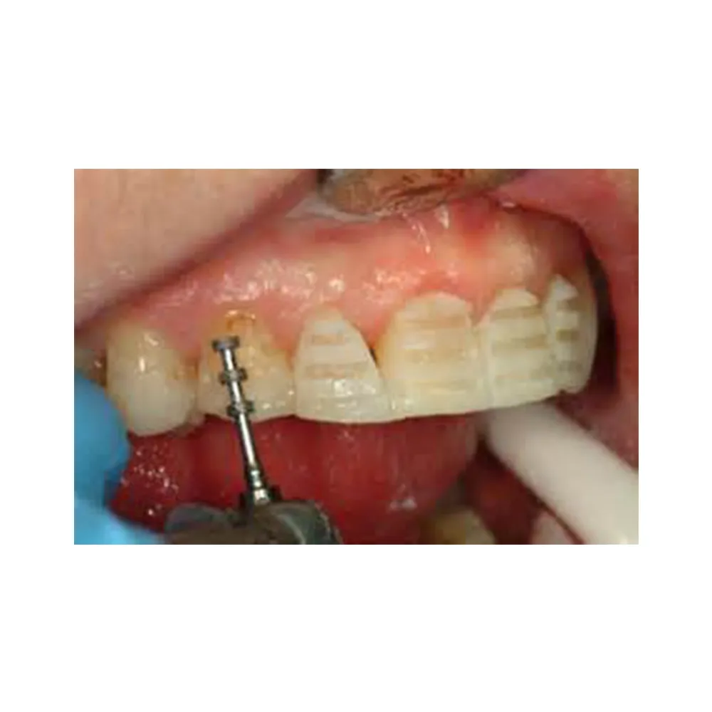
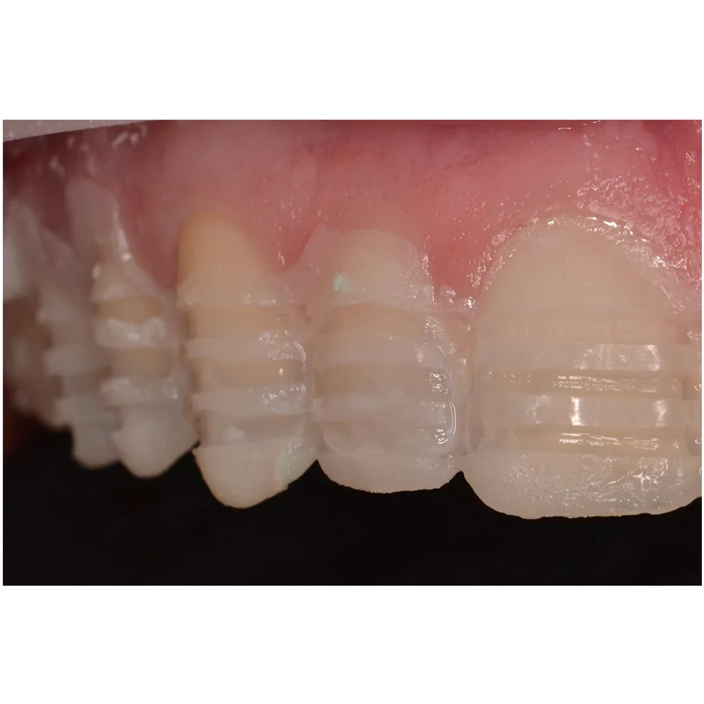
فرز الماسی مدل سر موج دار مخصوص توربین - Depth Marker:این فرز محصولی از کمپانیلاستردنتاست، خصوصیت متمایز کننده این فرز نسب به محصولات مشابه خود بهمتریال فرانسویآن برمیگردد. فرز مدل سر موج دار فرزی مخصوص توربین است که مدلCoarseآن که فرزی مخصوص تراش با درجه سختی (151μm) است که در قطرهای021C، 016CT , 014Cدر فروشگاه اینترنتی دندانت عرضه میشود.